La tuberculosis ósea, también conocida como osteomielitis tuberculosa, es una infección causada por la bacteria Mycobacterium tuberculosis, la cual, conforme a la literatura, se trata de una forma poco frecuente de tuberculosis, afectando entre el 2.2 y 4.7% de todos los casos de la enfermedad.
De acuerdo con Medicover Hospitals la osteomielitis tuberculosa puede manifestarse de cinco formas diferentes:
- Primaria: infección directa en el tejido óseo.
- Hematógena: la tuberculosis se propaga a los huesos a través del torrente sanguíneo.
- Espinal: afecta la columna vertebral, provocando destrucción y deformidad de la misma, así como complicaciones neurológicas.
- Del cráneo: provoca afectaciones craneales y complicaciones intracraneales.
- De huesos largos: implica la infección de huesos como la tibia o fémur, causando deformidad o destrucción ósea si no es tratada a tiempo.
Cuando la osteomielitis tuberculosa afecta huesos largos
Conforme a un estudio publicado en la revista Trauma & Case Reports, la afectación en huesos largos por Mycobacterium tuberculosis es poco frecuente y puede presentar características clínicas atípicas.
En particular, esta investigación, describe cómo la tuberculosis ósea puede manifestarse como una afectación aislada de la diáfisis de un hueso largo, es decir una infección localizada en el segmento medio del hueso.
Características del caso
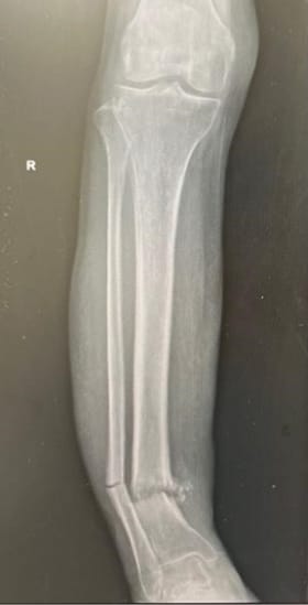
El estudio corresponde a un reporte de caso clínico, en el que se describe a una paciente femenina de 85 años con diagnóstico de osteomielitis tuberculosa primaria en la tibia derecha, causada por Mycobacterium tuberculosis.
Clínicamente, la paciente presentaba una lesión crónica en la extremidad inferior derecha, caracterizada por una herida de larga evolución sin cicatrización, acompañada de deformidad angular en varo.

Manejo terapéutico y uso de STIMULAN
Tras radiografías y tomografías de la extremidad inferior derecha, se observó una fractura transversal completa de la tibia y peroné distal, infección piogénica y sospecha de formación de abscesos.
La paciente fue sometida a tratamiento quirúrgico mediante un abordaje dirigido al control de la infección y la reconstrucción ósea. En ese contexto, tras irrigación, desbridamiento y ostectomía fibular oblicua, se empleó STIMULAN, un biomaterial a base de sulfato de calcio 100% absorbible. Esta solución clínica se mezcló con vancomicina y gentamicina para favorecer la liberación local de antibióticos en el sitio de infección y lograr la osteoconducción.
Evolución clínica y conclusiones
Tras la intervención quirúrgica, la paciente continuó con un régimen antituberculoso sistémico por nueve meses como parte del tratamiento. El estudio confirma una alineación postoperatoria favorable y una reintegración de movimiento progresiva.
Al año del retiro del fijador externo, las heridas habían cicatrizado, las imágenes de estudio demostraban una correcta unión de la fractura de la tibia y la paciente podía desplazarse de manera independiente.
El uso de STIMULAN para el manejo de osteomielitis tuberculosa representa una estrategia favorable al combinar liberación local sostenida de antibióticos con efecto osteoconductor, contribuyendo a la cicatrización ósea y al control de la infección, incluso en casos poco frecuentes como el presentado.
Lee el caso completo
Kwan, C. K., Tso, S. W. S., Liu, W. H., Tso, C. Y., Cheung, W. H., Wong, R. M. Y., & Tang, N. (2025). Primary diaphyseal tuberculosis of the tibia, presenting as a pathological fracture – A case report. Trauma Case Reports, 57, 101161. https://doi.org/10.1016/j.tcr.2025.101161
